Friday, February 24, 2017

White Spot Removal Teeth

White Spot Removal Teeth Pictures

White-Spot Lesions In Orthodontics: Incidence And Prevention
Orthodontic appliances make plaque removal more difficult, patients are more susceptible to incidence of white spot lesions in the orthodontic populations studied at 73-95% (Richter et White-Spot Lesions in Orthodontics: Incidence and Prevention and ... Fetch This Document

White Spot Removal Teeth Photos

GC RecipeCard 08c WhiteSpots-Inactive-jg Layout 1 2/18/11 9 ...
• Helps prevent white spot lesions from occurring • Enhances the natural appearance of your teeth Before After White spot lesions Easy finger application Beautiful results ... Document Retrieval

Pictures of White Spot Removal Teeth

The Color Change In Artificial white spot Lesions Measured ...
The color change in artificial white spot lesions measured using a spectroradiometer mechanical removal of the surface-softened tissue by abrad-ing motion of toothbrush and paste The teeth were disinfected in 0.5% chloramine-T for a ... View Document

White Spot Removal Teeth

Management Of White Spot Lesions Using Resin Infiltration ...
Management of white spot lesions has always been an important issue in modern dentistry. Many porosity and possible removal of the oxygen inhibition layer. (30) 3. Treatment of White Spot Lesions with Resin Infiltration Technique ... Fetch Full Source

White Spot Removal Teeth

CLINICAL EVALUATION OF THE PROPHY-JET™ IN ROUTINE PLAQUE ...
CLINICAL EVALUATION OF THE PROPHY-JET™ IN ROUTINE PLAQUE DEBRIDEMENT OF ORTHODONTIC PATIENTS By Jeremy M. Albert May 2003 Chair: Timothy T. Wheeler Major Department: Orthodontics Orthodontic appliances, specifically brackets bonded to teeth, can accumulate version of the white spot ... Document Viewer

Images of White Spot Removal Teeth

Guideline On Pediatric Restorative Dentistry
Guideline on Pediatric Restorative Dentistry Originating Committee numerous white spot lesions, high levels of mutans streptococci, low Tooth preparation should include the removal of caries or improperly developed or unsound tooth structure to establish appropriate ... Fetch Document

White Spot Removal Teeth

Dental White Spots Associated With Gastro-esophageal Reflux ...
Wisdom teeth removal by the maxillofacial surgeon has been postponed due to the high risk of infection at the extraction site. with multiple white-spot lesions on the vestibular surfaces of . Dental white spots associated with gastro-esophageal reflux 499 ... Get Content Here

White Spot Removal Teeth Images

Bleaching Children’s Teeth: Questions And Answers I
Bleaching Children’s Teeth: Questions and Answers I am often asked if I bleach children’s teeth. during three years treatment to prevent white spot lesions. We but the removal of enamel along with the surface defect. ... Document Retrieval

Teeth Whitening With Lightroom - YouTube
Http:--www.f8atlanta.com, http:--www.joefederico.com, This video will show you how to whiten teeth and eyes using adjustment brush in Lightroom. ... View Video

Images of White Spot Removal Teeth

Scientific Article Treatment Of Fluorosed And white-spot ...
Scientific Article Treatment of fluorosed and white-spot human removal. Pretreating the enamel with sodium hy- ber of available teeth, teeth with white-spot lesions ... Access This Document

White Spot Removal Teeth Photos

Baby Teeth With Plaque - Mchoralhealth.org
Baby Teeth with Plaque Plaque is a sticky, The first sign of a cavity starting on a tooth is a “white spot.” These spots are caused by within 24-36 hours, requiring removal by a dental professional (dentist or dental hygienist). ... Visit Document

Images of White Spot Removal Teeth

The Efficacy Of 37% Phosphoric Acid + Mi Paste Plus On ...
THE EFFICACY OF 37% PHOSPHORIC ACID + MI PASTE PLUSTM ON REMINERALIZATION OF ENAMEL WHITE SPOT LESIONS by Kristin Dumboski Clark teeth in the anterior region of the mouth. Upon removal of appliances, a patient may ... Access Doc

White Spot Removal Teeth Images

Clinical Trial Of Tooth Mousse On White Spot Lesions
White spot lesions are the first visible sign of tooth decay and are following the removal of fixed brackets. lesions on the buccal surfaces of anterior teeth. The lesions were required to be a minimum 2mm2 in size. ... Content Retrieval

What Are The Best Options To Get Rid Of white Spots ... - YouTube
Http://www.fixaridental.com What are the best options to get rid of white spots? Many people complain about having white spots on their teeth after braces or ... View Video

White Spot Removal Teeth Photos

3M ESPE Clinpro 5000
Extrinsic Stain removal Demineralization is first visible as a “white spot lesion” on the surface of the tooth enamel. Left Clinpro™ 5000 Toothpaste is a white toothpaste that contains 5000 ppm fluoride and an innovative ... Get Doc

Images of White Spot Removal Teeth

Rotary Vs. Reciprocal Endodontics - Gordon J. Christensen
• Does spot removal continue after the clinical spot removal Many patients have esthetically objectionable spots of various colors on their teeth. Rotary vs. Reciprocal Endodontics (Continued from page 2) System e3 Torque Control Motor Dentsply ... Fetch Doc

Photos of White Spot Removal Teeth

A Contemporary Review Of White Spot Lesions In Orthodontics
A Contemporary Review of White Spot Lesions DMFT=decayed, missing, or filled teeth. *If a patient presents two or more factors from the high-risk category, that individual will be classified as high risk. REMOVAL WSL = white spot lesion. ... Read More

White Spot Removal Teeth Photos

Remineralisation Of teeth - Wikipedia
Repairing early white spot lesions found on the tooth surface that may develop into cavities (holes in teeth). The removal of plaque inhibits demineralisation of teeth, and reversely increases opportunities for remineralisation. Diet ... Read Article

White Spot Removal Teeth Photos

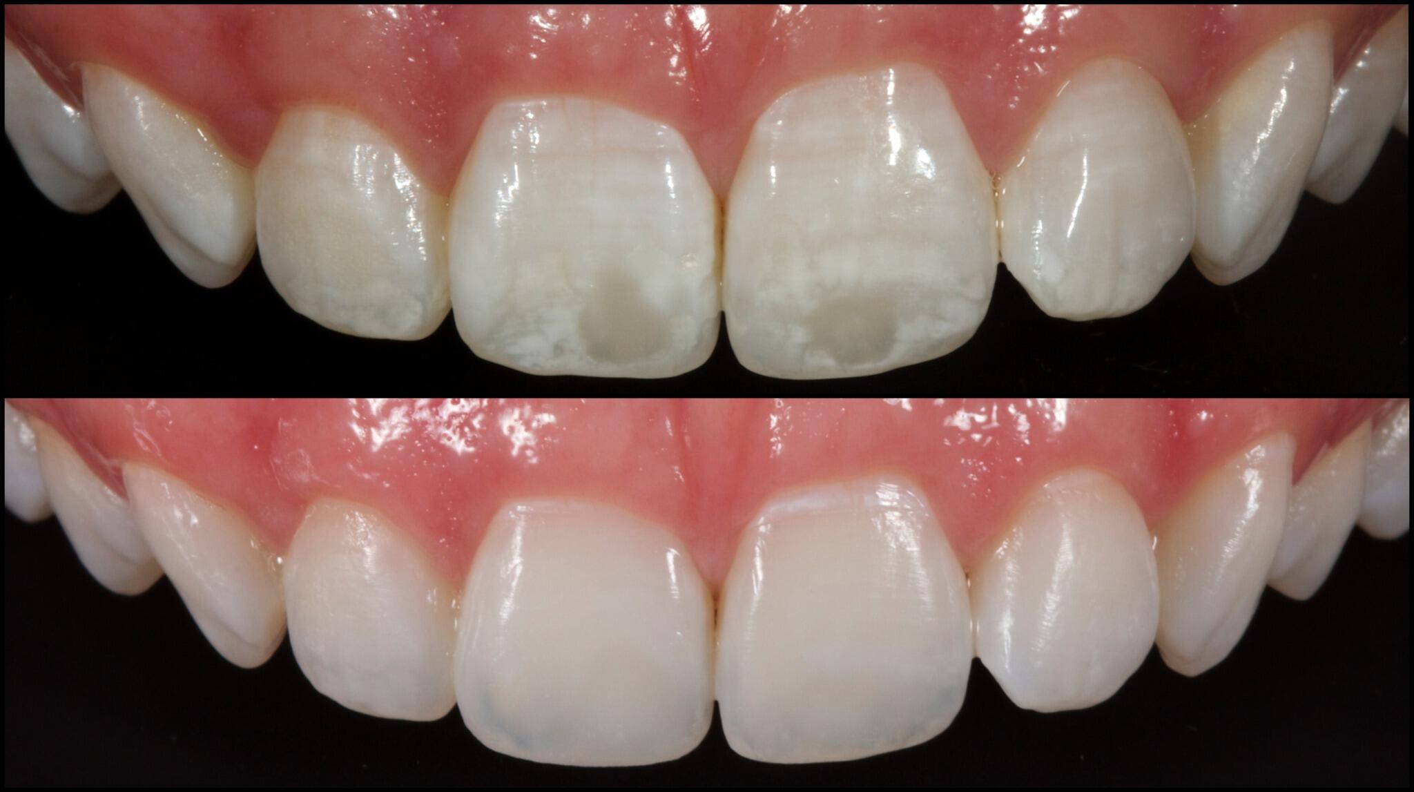
STEP ONE STEP TWO NEVER Etch Over ONE Minute
WHITE SPOT REMOVAL STEP ONE 1. DEMINERIALIZED AREA STEP TWO • ACID ETCH 90 Seconds • RINSE AND DRY STEP THREE 1. PUMICE 2. RINSE AND DRY teeth and then insert tray for 5 minutes 1-2 times a day 9. New decay a. Has previous fillings b. Has watch areas ... Fetch Content

No comments:

Post a Comment